La inteligencia artificial predice el riesgo de enfermedad cardiaca usando una sola radiografía
Crean una tecnología que facilita la prevención de riesgos para la salud cardiovascular
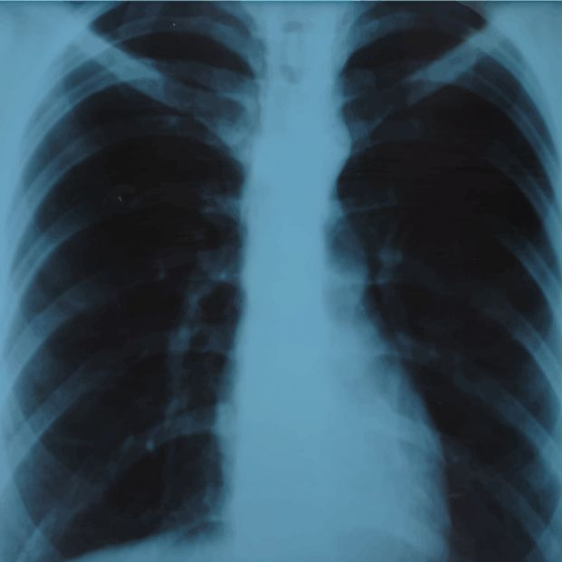
El futuro ha llegado. Gracias a una Inteligencia Artificial, investigadores norteamericanos son capaces de predecir el riesgo de muerte de una persona, haciendo uso de una única radiografía del tórax. Lo que hace unos años sería pura ciencia ficción, hoy se hace realidad gracias al desarrollo del aprendizaje en profundidad que utilizan este tipo de tecnologías novedosas.
Este modelo, presentado este martes 29 de noviembre en la reunión anual de la Sociedad Radiológica de América del Norte (RSNA), realiza una estimación a 10 años vista. Lo que calcula esta IA es la probabilidad de que el paciente sufra un ataque cardíaco o un derrame cerebral mortal debido a la acumulación de grasas y colesterol en las arterias, que se conoce de forma técnica como enfermedad cardiovascular aterosclerótica.

Un avance en materia de prevención
El autor principal del estudio, Jakob Weiss, radiólogo afiliado al Centro de Investigación de Imágenes Cardiovasculares en el Hospital General de Massachusetts y del programa AI in Medicine en el Brigham and Women's Hospital en Boston, ha afirmado que esta innovación podría servir para medicar a personas que lo necesiten pero que aún no son conscientes de ello, contribuyendo así a la prevención.
Jakob Weiss reconoce que los rayos X llevan muchos años capturando la información necesaria para elaborar su estudio. El problema, según señala, es que antes no se tenían los métodos a los que ahora tienen acceso gracias a la Inteligencia Artificial.
Esta nueva tecnología, supera al modelo usado actualmente, la puntuación de riesgo de enfermedad cardiovascular aterosclerótica (ASCVD), que, según el propio Weiss, usa variables para predecir el riesgo que muchas veces no están disponibles.
La principal mejora, que proporciona numerosas posibilidades, es que ahora solo se necesita una radiografía, que se adquiere millones de veces al día en todo el mundo, para realizar estas predicciones.

El doctor Weiss y un equipo de investigadores han desarrollado este proyecto haciendo uso de 147.497 radiografías de tórax de 40.643 participantes extraídas del Ensayo de detección de cáncer de próstata, pulmón, colorrectal y ovario. Este estudio aleatorio multicéntrico es un ensayo controlado, diseñado y patrocinado por el Instituto Nacional del Cáncer.
Sin embargo, para que este avance pueda ser puesto en práctica, se necesita investigación adicional, incluido un ensayo aleatorio controlado, según ha recalcado el autor del estudio. Cuando esto ocurra, podríamos estar ante un paso en la medicina que podría salvar miles de vidas.



